• 晚上睡觉小腿突然抽筋咋回事?如何预防?
    0

    晚上睡觉小腿突然抽筋咋回事?如何预防?

    导语很多人在晚上睡觉时有腿抽筋的经历,小腿部肌肉突然剧烈、不自主的收缩,痛得让你睡不着觉,影响睡眠。这样的抽筋常发生于夜间熟睡时,
    32
  • 天冷血压高 准妈妈如何稳住“它”
    0

    天冷血压高 准妈妈如何稳住“它”

    36岁的芳芳怀孕6个多月了,此前每次产检都很正常。最近天气转冷,芳芳的双脚突然莫名肿胀了起来,到医院产检,医生告诉她,这是妊娠高血
    13
  • 军医提醒:老年人血糖监测注意事项
    0

    军医提醒:老年人血糖监测注意事项

    人体血液中的糖称为血糖,绝大多数情况下都是葡萄糖。体内各组织细胞活动所需的能量大部分来自葡萄糖,所以血糖必须保持一定的水平才能维持
    7
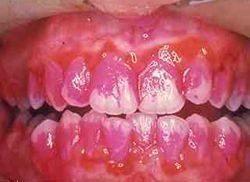
  • 牙周炎——不可忽视的糖尿病并发症
    0

    牙周炎——不可忽视的糖尿病并发症

    专家介绍:董占海,刘彦,解放军第306医院,全军口腔疾病诊治中心军人特需诊疗科。张先生从事家居建材生意多年,人到中年,事业有成,工
    12
  • 人群肠道菌群数据库雏形
    0

    人群肠道菌群数据库雏形

    我国首次发布全年龄段中国人群肠道菌群结构及其分型研究结果近日,全国智能化养老科技信息研究中心联合国内多所医学院校的一项研究,发布了
    35
  • 是时候考虑中药何去何从了
    0

    是时候考虑中药何去何从了

    屠呦呦教授的诺贝尔奖让中医药行业突然扬眉吐气起来,似乎忘却2011年至今平均每年中药新批文不足120个的注册困境,似乎忽略此前的中
    57
  • mNGF积极向上
    0

    mNGF积极向上

    我国属于脑卒中高发国家,脑卒中患病率逐年提高。据专家预测,卒中发病已呈“井喷”态势。因此,加大脑神经保护类药物的开发、修复受损的中
    6
  • 5类人泡脚要小心 掌握时间水温是关键
    0

    5类人泡脚要小心 掌握时间水温是关键

    “46岁女性泡脚引发脑血管动脉瘤破裂”敲响警钟40℃左右、半小时之内为最佳,过热过长都会增加心脑血管负担受访专家:中国中医科学院教
    21
  • 糖尿病干细胞移植治疗摸索前行
    0

    糖尿病干细胞移植治疗摸索前行

    近年,我国糖尿病流行病学调查发现,国内糖尿病发病率达到9.2%,患病人数达到9240万。更为严重的是,糖尿病的知晓率和就诊率极低。
    9
  • “心梗”盯上年轻人 天冷更需防范
    0

    “心梗”盯上年轻人 天冷更需防范

    每年秋冬季节都是心脑血管疾病的高发季节,今年也不例外。随着天气逐渐寒冷,来武警总医院心电图室做检查的患者也日益增多,特别是近期看到
    25
  • 1型糖尿病疫苗接种现曙光
    0

    1型糖尿病疫苗接种现曙光

    1型糖尿病疫苗是近年来糖尿病科学家研究的重点内容。据今年3月PMLiVE官网发布的消息显示,1型糖尿病疫苗将在今年开始进入人体试验
    5
  • 揭密白云山中一的“互联网+”
    0

    揭密白云山中一的“互联网+”

    障眼名片线上遭疯抢2小时,一个单品,上线后瞬间引爆,天猫医药馆销售2000单!9月9日,白云山中一障眼名片创下了惊人销售奇迹,一举
    35
  • 手脚冰凉是咋回事?你有这个症状么?中医专家为您支招
    0

    手脚冰凉是咋回事?你有这个症状么?中医专家为您支招

    眼下已转入到深秋季节,冬天很快就要来到。本周日(11月8日)将迎来立冬节气,天气越来越冷,天一冷就感觉全身发冷,特别是很多女性都会
    42
  • 巴俊强:专攻内分泌专业难题
    0

    巴俊强:专攻内分泌专业难题

    人物名片>>>巴俊强,主任医师,遵义市第一人民医院(遵义医学院第三附属医院)内分泌科主任;主持省市级科研课题2项,在国家、省级期刊
    13
  • 秋季萝卜赛人参 从头到尾分开吃
    0

    秋季萝卜赛人参 从头到尾分开吃

    俗话说“秋季萝卜赛人参”,眼下正是“小人参”上市的好季节,多食萝卜的确有益于健康。李时珍称赞萝卜为“蔬中之最有利益者”,说它“生吃
    21
  • 以联合调研为开端深入探究中国血糖监测现状与未来
    0

    以联合调研为开端深入探究中国血糖监测现状与未来

    中国医师协会、中国医师协会内分泌代谢科医师分会与雅培公司达成血糖监测规范化战略合作“中国血糖监测规范化行动”战略合作框架协议签署仪
    20
  • 秋季10大冠军果蔬 给你从头到脚的养护
    0

    秋季10大冠军果蔬 给你从头到脚的养护

    秋天是进补的好时节,各式色彩缤纷的水果蔬菜纷纷上架,多些补充应急果蔬,不仅能满足吃货们味蕾的享受,还能达到养生的效果。一起来看看这
    8
  • 暨大附一院:世界糖尿病日大型义诊活动
    0

    暨大附一院:世界糖尿病日大型义诊活动

    为迎接一年一度的“世界糖尿病日”,唤起公众对糖尿病防治及教育的重视,暨南大学附属第一医院(广州华侨医院)将在“世界糖尿病日”当天举
    14
  • 食物分级——让糖尿病饮食更简单
    0

    食物分级——让糖尿病饮食更简单

    据我国卫计委发布数据显示,目前中国糖尿病成人2型糖尿病患病率已经达到11.4%,飙升至世界第一位,达到1.14亿人,糖尿病最大的危
    21
  • 中山大学孙逸仙纪念医院11月讲座
    0

    中山大学孙逸仙纪念医院11月讲座

    1、11月1日(周日)上午9:30时,在沿江西路107号孙逸仙纪念医院岭南楼26楼海珠厅主题:“分娩总动员”;主讲:产房 黄佩贤
    15
  • 糖尿病(提供信息)

    149  0

    热门评论

    会员最新动态

    精选图文信息